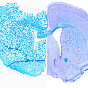
Faut-il colorer tout de suite ? Impact de la conservation des lames sur les colorations histologiques – Aurélie Covinhes (BCM– Montpellier)
Dans le cadre de prestations de services en histologie, il est important de disposer des contrôles adéquats à chaque étape du traitement d’un échantillon. Au sein de la plateforme RHEM...



